Tireoide - O que você precisa saber
25 de maio é o dia internacional da Tireoide
Por: Dra. Raquel Wal, CRM PR 12214, Médica patologista e Citopatologista do Laboratório Citolab
Dia para alertar sobre as doenças desta pequena glândula em forma de borboleta, localizada na base do pescoço, produz hormônios fundamentais para a regulação do metabolismo do organismo.
A glândula tireóide produz hormônios que são fundamentais para a regulação do metabolismo em nosso organismo: o T3 ( triiodotironina ), e o T4 ( tetraiodotironina ).
O estímulo para produção destes hormônios vem da ação, sobre a glândula, do hormônio estimulante da tireóide ( TSH ) produzido na hipófise.
Ela está localizada na região cervical anterior, à frente da cartilagem tireóide, abaixo da pele e músculos cervicais. Tem a forma de uma “borboleta” formada por lobo direito, esquerdo e pela porção que os liga: o istmo.

As disfunções desta glândula não são incomuns, principalmente no sexo feminino. Pode ocorrer decréscimo na produção dos hormônios (hipotireoidismo), ou aumento da produção dos mesmos (hipertireoidismo).
As disfunções podem ocorrer sem alterações morfológicas, ou com alterações, seja na consistência da glândula, tamanho da mesma, irregularidades da forma e formação de nódulos, únicos ou múltiplos.
Em termos de patologia as alterações morfológicas poder ter por base:
- Hiperplasia compensatória, que é a proliferação benigna de estruturas produtoras de hormônio, ou folículos tireoidianos, em geral quando a produção do T3 e T4 começa a cair.
Esta alteração pode levar ao aumento de volume da glândula, de maneira difusa ou com formação de nódulos; condição conhecida como bócio.
- Tireoidites: são processos inflamatórios que acometem a glândula, em geral com diminuição da função da mesma. Uma tireoidite comum em nosso meio é a autoimune conhecida como tireoidite de Hashimoto.
- Neoplasias: podem ser benignas ou malignas (câncer). Nestes casos ocorre a formação de um nódulo ou de uma massa irregular, com ou sem aumento de linfonodos.

Como investigar as alterações da tireóide?
O endocrinologista é, comumente, o especialista que faz esta investigação. Durante o exame físico o médico faz a palpação da tireóide, feita em geral com o paciente deitado e com o pescoço hiper estendido. Como a glândula á superficial, sua palpação é possível, principalmente se houver aumento de volume, ou nódulos palpáveis.

Hoje, é comum que, após o exame clínico, além da determinação dos hormônios tireoidianos no sangue, o paciente seja submetido ao exame ultrassonográfico da glândula.
É um exame simples, de fácil execução e com ótima sensibilidade na detecção de alterações morfológicas. Durante este exame, o radiologista pode decidir coletar material da glândula, se tiver treinamento para tal, ou pode solicitar a presença do médico patologista, especialista em citopatologia que faça esta coleta, guiada por ultrassom.
É feita então a punção aspirativa por agulha fina: PAAF.

No caso da punção de nódulos a decisão para a coleta depende muito do aspecto radiológico do nódulo baseado em uma classificação radiológica denominada TI-RADS.
O que é PAAF?
É uma coleta rápida, sem necessidade de internação ou anestesia, e que causa pouco desconforto ao paciente em mão habilitadas. Usa se seringa de 10 ou 20 ML, e agulhas de venopunção (23 Guge).
No monitor observa-se quando a agulha atinge a área de interesse então procede-se à sucção de células, as quais serão estendidas em lâminas formando os esfregaços citológicos que serão avaliados pelo médico citopatologista.
Os esfregaços devem ser feitos de acordo com técnica adequada, para que fiquem finos e homogêneos, sem causar artefatos de pressão nas células.

Na dependência da quantidade de material coletado o número de esfregaços pode variar, mas em uma punção bem feita é possível obter seis esfregaços. Três ou quatro deles devem permanecer secos ao ar e os demais fixados com fixadores à base de álcool.
Se houver material na seringa esta deve ser enviada ao laboratório de citopatologia juntamente com as lâminas identificadas e com uma requisição adequadamente preenchida.
No laboratório as lâminas secas ao ar serão coradas pelo método de Giemsa e, as fixadas podem ser coradas pelo método de papanicolaou, ou podem aguardar a primeira avaliação, sendo usados para imunocitoquímica.
O material da seringa pode ser utilizado para e execução de” cell blok”, o qual pode ser cortado e corado por HE, fornecendo uma complementação da análise, ou cortes podem ser utilizados para imunocitoquímica.
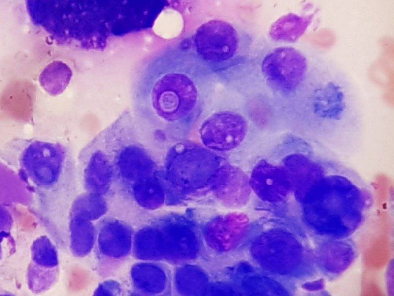
O médico citopatologista analisa as lâminas ao microscópio óptico e, com base nos achados pode diagnosticar com bastante precisão, as alterações morfológicas descritas previamente e então, emite um laudo.
![]() |
![]() |
![]() |
Atualmente, após a descrição dos achados microscópicos, o item diagnóstico é baseado no Sistema de Bethesda para Laudos Citopatológicos em Tireóide.
I) AMOSTRA NÃO DIAGNÓSTICA
II) BENIGNO
III) ATIPIAS DE SIGNIFICADO INDETERMINADO / LESÃO FOLICULAR DE SIGNIFICADO INDETERMINADO
IV) SUSPEITO DE NEOPLASIA FOLICULAR
V) SUSPEITO DE MALIGNIDADE
VI) MALIGNO
Este sistema separa os padrões diagnósticos em seis categorias, com a vantagem de haver já sistematizadas as condutas a serem tomadas para cada uma das categorias diagnósticas.
Sobre a PAAF e suas vantagens:
por Dra. Juliana Elizabeth Jung, PhD - CRM 19955 - Médica Patologista do Laboratório Citolab
Mais da metade da população brasileira têm nódulos na tireoide, que podem ser detectados por exame
físico ou estudo por imagem – ultrassom.
O ultrassom é um exame que é capaz de identificar até mesmo nódulos bem pequenos, não palpáveis em exame físico.
São tumores que, em sua maioria, reúnem características que os categorizam como indolentes, mas para a
melhor definição do potencial de agressividade, inclusive para diferenciar as lesões benignas das malignas, entra em ação a punção aspirativa por agulha fina (PAAF).
A punção aspirativa por agulha fina (PAAF) é procedimento de diagnóstico que nos possibilita, através da introdução de uma fina agulha, recolher células para posteriormente serem analisadas ao microscópio pelo médico patologista, que irá observar criteriosamente as amostras das células ao microscópio.
A partir desta análise é que são conhecidos os resultadosdo exame. Assim que são conhecidos os resultados do exame citológico estes são comunicados ao médico assistente / paciente. Se o resultado for positivo à suspeita de neoplasia, deve ser efetuada avaliação pelo médico e iniciado tratamento o mais prematuramente possível em concordância com a diferenciação citológica, entre outros fatores.
O exame citológico é classificado em seis categorias de acordo com o Sistema de Bethesda.
Estudos imunocitoquímicos e colorações especiais podem ser feitos em casos selecionados, a técnica é simples, e dá o diagnóstico da maioria das lesões malignas de tireóide, assim como de muitas benignas.
A PAAF é um exame operador dependente, ou seja, sua eficácia depende muito de quem o faz, e também, do citopatologista que interpreta as lâminas.
Os tipos mais comuns de neoplasias malignas são os carcinomas papilífero, folicular, medular e o anaplásico.
E dentre essas, o mais comum é o carcinoma papilífero, que apresenta – na maioria dos casos – a mutação V600E do gene BRFA, alteração presente em 40% a 50% dos tumores papilíferos em pacientes adultos. A alteração citológica mais conhecida desta neoplasia é a pseudoinclusão.
A principal desvantagem do PAAF é que ela não permite diferenciar entre as neoplasias foliculares de tireóide, ou seja, é impossível afirmar por intermédio desse exame, se o nódulo é um adenoma folicular ou um carcinoma folicular, ou um adenoma de células oxifílicas.
A PAAF da tireoide é um exame seguro, rápido, barato e eficaz com uma baixa taxa de complicações, podendo o paciente retomar a sua atividade normal imediatamente após a sua realização, não necessitando, por isso, de qualquer período de recuperação.
A PAAF continua sendo o passo principal no diagnóstico de nódulos tireoidianos. Uma das principais vantagens da PAAF é que esse método diagnóstico faz uma interpretação confiável de nódulos tireoidianos e muitas vezes evita cirurgias desnecessárias e é capaz de identificar neoplasias malignas em estágios iniciais, possibilitando ao paciente o diagnóstico e tratamento precoce.




















